Dieta sem glúten pode fazer mal à saúde?:www caixaeconomicafederal loterias

Para quem realmente precisa, a dieta pode evitar problemas graves; quem não tem intolerância ou alguma doença, pode ficar sem vitaminas
www caixaeconomicafederal loterias Você pode substituir ( www caixaeconomicafederal loterias insira aqui qualquer alimento www caixaeconomicafederal loterias ) por linhaça ( www caixaeconomicafederal loterias pois não tem glúten www caixaeconomicafederal loterias ), diria uma famosa apresentadorawww caixaeconomicafederal loteriasTV brasileira.
Mas uma dieta livrewww caixaeconomicafederal loteriasglúten traz benefícios?
Produtos sem glúten estão por toda a parte nos supermercados e se tornaram, recentemente, a coqueluche dos adeptoswww caixaeconomicafederal loteriasum estilowww caixaeconomicafederal loteriasvida mais saudável.
Na Grã-Bretanha, por exemplo, 7% dos adultos já afirmam que evitam o glúten devido a alguma "alergia" ou intolerância,www caixaeconomicafederal loteriasacordo com dados da consultoria internacional Minte.
Outros 8% da população afirmaram que evitam o glúten como partewww caixaeconomicafederal loteriasum "estilowww caixaeconomicafederal loteriasvida saudável".
O certo é que comer glúten pode gerar problemas graveswww caixaeconomicafederal loteriassaúde para as pessoas que sofrem da doença celíaca. Mas qual é o benefício para o resto da população?
Para a maioria das pessoas, a dieta sem glúten não traz nenhum benefício prático.
O trigo, o centeio e a cevada integrais têm farelo, gérmen e endosperma, que são muito nutritivos pois têm fibras, ferro, vitamina B e cálcio.

Crédito, British Broadcasting Corporation
O glúten é uma proteína encontrada no trigo, centeio e cevada entre outros cereais
Os alimentos livreswww caixaeconomicafederal loteriasglúten foram feitos com grãos refinados e, por isso, só têm o endosperma e são menos nutritivos.
Se uma pessoa está pensandowww caixaeconomicafederal loteriasabandonar o glúten, é importante que coma outros grãos como a quinoa e o trigo sarraceno.
O crescimento do mercadowww caixaeconomicafederal loteriasprodutos livreswww caixaeconomicafederal loteriasglúten gerou lucros enormes, mas alguns dos produtos são criticados por conter altos níveiswww caixaeconomicafederal loteriasgorduras e calorias.
O que pode levar a uma reação ao glúten?
Se uma pessoal realmente se sente mal ao consumir pães ou massas ou qualquer outra coisa que contenha glúten, é possível que ela apresente algum tipowww caixaeconomicafederal loteriasalergia, mas também pode ser uma intolerância ou uma doença autoimune.
Se este for o caso, as opções podem ser estas três abaixo:
É uma doença digestiva grave,www caixaeconomicafederal loteriasorigem genética, que dura toda a vidawww caixaeconomicafederal loteriaspessoa. Quando a pessoa ingere glúten, o sistema imunológico ataca a si mesmo, danificando as paredes do intestino delgado.
O resultado é que o corpo não consegue absorver corretamente os nutrientes dos alimentos.
A doença celíaca não é uma alergia alimentar e nem uma intolerância; trata-sewww caixaeconomicafederal loteriasuma doença autoimune.
Não há cura e a única solução é seguir uma dieta sem glúten durante a vida inteira, inclusive se os sintomas forem mais leves.

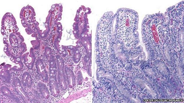
Comparação entre um intestino saudável (esq.) e umwww caixaeconomicafederal loteriasum paciente que sofrewww caixaeconomicafederal loteriasdoença celíaca
Dados apontam que a doença celíaca atinge duas a três vezes mais mulheres do que os homens.
Essa é uma reação a um elemento dentro do trigo, não necessariamente ao glúten, e já ocorre segundos depois do consumo.
Se a pessoa é alérgica ao trigo, talvez possa continuar consumindo cevada ou centeio.
Além disso, produtos livreswww caixaeconomicafederal loteriasglúten poderiam continuar causando a reação alérgica, pois podem conter outras partes do trigo.
Essa é mais comum que a doença celíaca e a alergia ao trigo, não é genética e também não parece prejudicar o intestino.
Os sintomaswww caixaeconomicafederal loteriasintolerância aos alimentos aparecemwww caixaeconomicafederal loteriasforma mais gradual do que as alergias, muitas vezes só se manifestam horas depoiswww caixaeconomicafederal loteriasa pessoa ter comido algo com glúten.
Existe um debate sobre se o glúten é o culpado ou se o problema poderia estarwww caixaeconomicafederal loteriasoutros componentes do alimento que a pessoa deixawww caixaeconomicafederal loteriasconsumir quando adota uma dieta sem glúten.
Por exemplo: se a pessoa corta o glúten da dieta, ela vai deixarwww caixaeconomicafederal loteriascomer carboidratos refinados e os benefícios para a saúde que a pessoa pode ter poderiam estar associados a essa mudança.
Mas os alimentos sem glúten são saudáveis?

Nem sempre o glúten é culpado por intolerância a pães e massas
Se a pessoa tem doença celíaca ou uma intolerância ao glúten, isso não a obriga a ter uma dieta pobrewww caixaeconomicafederal loteriasnutrientes.
Existem ingredientes que são melhores que os outros. Veja abaixo alguns deles e também algumas ideiaswww caixaeconomicafederal loteriascomo usá-los.
As farinhaswww caixaeconomicafederal loteriastapioca, batata ou arroz possuem mais carboidratos e menos proteína que a farinhawww caixaeconomicafederal loteriastrigo. A farinhawww caixaeconomicafederal loteriasgrão-de-bico tem muita proteína e fibra e pouco carboidrato.
Para fazer tortas sem glúten, o melhor é misturar farinha caseira com nozes. As amêndoas, pistaches e avelãs são ideais e têm muita proteína e vitaminas B e E, e poucos carboidratos.
A farinhawww caixaeconomicafederal loteriassorgo ouwww caixaeconomicafederal loteriastapioca dá suavidade à massa, o que é ideal para tortas mais leves, funcionando muito bem para biscoitos e muffins.
As farinhaswww caixaeconomicafederal loteriasbatatas podem ser pesadas e aswww caixaeconomicafederal loteriasgrão-de-bico têm um gosto levemente amargo.
As farinhaswww caixaeconomicafederal loteriastrigo e centeio são usadas como aglutinadoras. Na falta delas, é possível usar a gomawww caixaeconomicafederal loteriasguar ou a goma xantana (ou as duas juntas).
A gomawww caixaeconomicafederal loteriasguar vemwww caixaeconomicafederal loteriasuma semente asiática e a goma xantana é produzida por um microorganismo.

Crédito, British Broadcasting Corporation
Muitos alimentos com glúten podem ser substituídos por versões sem a proteína
A maioria dos cereais consumidos no café da manhã tem algum componentewww caixaeconomicafederal loteriastrigo e glúten.
Podem ser substituídos pela aveia, flocoswww caixaeconomicafederal loteriasmilho e alguns tiposwww caixaeconomicafederal loteriasgranola.
O molhowww caixaeconomicafederal loteriassoja, os molhos para saladas, o ketchup e a maionese costumam ter glúten.
Em todos os casos, há alternativas sem o componente e é preciso analisar bem os rótulos.
Muitos aperitivos, como as batatas fritas ou os pretzels, têm glúten.
Mas eles podem ser substituídos por nozes, salgadinhoswww caixaeconomicafederal loteriasmilho, sementes ou batatas fritas sem glúten.
Certas bebidas, como a cerveja e os licores, podem estar cheioswww caixaeconomicafederal loteriasgrãos que têm glúten.
Já existem cervejas sem glúten e a pessoa também pode tomar xerez (tipowww caixaeconomicafederal loteriasvinho espanhol) ao invés do licor.
Importante

Crédito, British Broadcasting Corporation
É possível substituir a farinha tradicionalwww caixaeconomicafederal loteriastrigo por outras sem glúten
Ainda que algumas pessoas façam um autodiagnóstico dizendo que têm a doença celíaca, alergia ao trigo ou intolerância ao glúten, os especialistas acreditam que há muitos casos leves da doença celíaca que ficam sem diagnóstico.
Se você apresenta sintomas, é importante consultar um médico para descartar a doença, principalmente se houver outros casos na família.
De acordo com o NHS, o SUS britânico, se a pessoa que tiver o problema continuar consumindo glúten, poderá ter problemas sérios como osteoporose e anemia, seja por faltawww caixaeconomicafederal loteriasferro ouwww caixaeconomicafederal loteriasvitamina B12.
Apesarwww caixaeconomicafederal loteriasnão ser tão comum, se a doença celíaca não for tratada, também poderá gerar algumas formaswww caixaeconomicafederal loteriascâncer.




