Dieta sem glúten: necessidade médica ou moda injustificada?:bet nacional promoção

Crédito, BBC World Service
bet nacional promoção Milhõesbet nacional promoçãopessoasbet nacional promoçãotodo o mundo estão abrindo mão do glúten. O jornalista da BBC William Kremer é um deles. Ele tem suas razões para ter deixadobet nacional promoçãocomprar pão e bolos tradicionais. Mas ele não tem certeza do porquêbet nacional promoçãotantas pessoas estarem cortando esse alimentobet nacional promoçãosuas dietas, como ele pondera abaixo:
É assim que você se livra do glúten nabet nacional promoçãovida. Primeiro, tire todo os pães, farinhas e cereais matinaisbet nacional promoçãotrigo do seu café da manhã. Em seguida, jogue fora todos os potesbet nacional promoçãomanteiga ou geleia que estavam abertos, porque pode haver migalhasbet nacional promoçãopão ou bolacha neles.
Além disso, chame seus amigos para acabar com todas as cervejas que você tenhabet nacional promoçãocasa. Milhõesbet nacional promoçãopessoas estão fazendo isso e muito mais à medida que estão convertendo seus corposbet nacional promoçãoáreas livresbet nacional promoçãoglúten.
<link type="page"><caption> Leia mais: Apresentador da BBC testa dieta que promete reduzir colesterol</caption><url href="http://roberthost1.accountsupport.com/noticias/2015/07/150721_saude_colesterol_teste_hb.shtml" platform="highweb"/></link>
Apenas nos Estados Unidos, cercabet nacional promoção70 milhõesbet nacional promoçãopessoas – ou 29% da população adulta – garante que está tentando cortar o consumobet nacional promoçãoglúten,bet nacional promoçãoacordo com um levantamento divulgado pela empresabet nacional promoçãopesquisas NDP.
Já no Reino Unido, 60% dos adultos já compraram um produto sem glúten,bet nacional promoçãoacordo com dados do sitebet nacional promoçãopesquisas YouGov, ebet nacional promoção10% dos lares há alguém que acredita que glúten faz mal para a saúde.

Crédito, BBC World Service
Foi assim que a minha casa passou a fazer parte desses 2,6 milhõesbet nacional promoçãolares.
Em fevereiro, o meu filho Sam,bet nacional promoção21 meses, contraiu o que parecia ser um vírus. Eu e minha mulher nos revezamos para lidar com o vômito e a diarreia, na expectativabet nacional promoçãoque tudo fosse melhorarbet nacional promoçãoalguns dias.
Mas semanas se passaram e isso não aconteceu. Sam começou a perder peso. No banho, podíamos ver suas costelasbet nacional promoçãocima da barriga, que estava inchada como um balão.
Ele paroubet nacional promoçãoandar e não conseguia mais ficarbet nacional promoçãopé –bet nacional promoçãopersonalidade animada começou a desaparecer. Ele gritava com estranhos e se recusava a nos olhar nos olhos. Dia e noite, nossa casa estava imersabet nacional promoçãocançõesbet nacional promoçãoninarbet nacional promoçãovídeos do YouTube – a única coisa que parecia animar Sam.
Um dia, na áreabet nacional promoçãoemergênciabet nacional promoçãoum hospital, um pediatra mencionou pela primeira vez algo que eu nunca tinha ouvido falar: doença celíaca. Um examebet nacional promoçãosangue e uma biópsia confirmaram que meu filho tinha essa doença autoimune que é causada pelo glúten, um conjuntobet nacional promoçãoproteínas.
O glúten pode ser encontrado no trigo e proteínas muito semelhantes estão presentes na cevada e no centeio. Segundo os médicos nos disseram, até mesmo uma migalhabet nacional promoçãopão pode desencadear os sintomasbet nacional promoçãoSam.
Dificuldades para processar o glúten
Vou dizer isso do melhor jeito possível, mas o Sam é um retrocesso evolucionário. Volte no tempo 10 mil anos e todo mundo estava numa dieta sem glúten. E então eles começaram a cultivar a terra: uma revolução agrária que deu à nossa espécie tempo livro para construir civilizações e desenvolver cultura e tecnologia.
Os seres humanos têm muito a agradecer ao glúten. Ele transforma o pãobet nacional promoçãoum produto mais suave ao fazer com que a massa cresça durante a cocção.

Crédito, ThinkStock
Mas ele é a única das proteínas que não pode ser decomposta totalmente pelo corpo humano e transformadabet nacional promoçãoaminoácidos.
O máximo que conseguimos fazer é dividi-lobet nacional promoçãocadeiasbet nacional promoçãoácidos chamados peptídios.
<link type="page"><caption> Leia mais: Chancebet nacional promoçãoobesos voltarem a peso normal é menor que 1%, diz pesquisa</caption><url href="http://roberthost1.accountsupport.com/noticias/2015/07/150717_dieta_ebc.shtml" platform="highweb"/></link>
Eles normalmente passam pelo corpo da maioria das pessoas. No entanto, os sistemas imunológicosbet nacional promoçãocelíacos (pessoas que sofrem do transtorno) são geneticamente predispostos a vê-los como micróbios invasores.
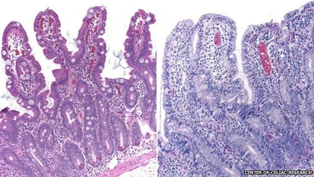
Uma guerra começa e há vários efeitos colaterais: uma redução das vilosidades intestinais, dobras que cobrem o intestino delgado e são responsáveis por absorver os nutrientes e levá-los até o fluxo sanguíneo.
À medida que se atrofiam,bet nacional promoçãosuperfície diminui e não faz seu trabalho como deveria.
Dietabet nacional promoçãomoda
A doença celíaca é bem comum. Ela afeta cercabet nacional promoção1% das pessoas do mundo desenvolvido,bet nacional promoçãoonde se tem dados.
Mesmo com essa abrangência, isso não explica a crescente popularidade da dieta sem glúten.
Segundo a empresabet nacional promoçãoanálisebet nacional promoçãomercado Mintel, 7% dos adultos britânicos evitam o glúten por contabet nacional promoçãoalergia ou intolerância (estritamente falando, a doença celíaca não é nem uma coisa nem outra) e maisbet nacional promoção8% o evitam por contabet nacional promoçãoum "estilobet nacional promoçãovida saudável".
A opiniãobet nacional promoçãoque o glúten faz mal não apenas para celíacos mas para todo mundo é apoiada por uma correntebet nacional promoçãoblogueiros, nutricionistas que vendem best sellers e famosos.

Crédito, BBC World Service
Um levantamento da Mintel estimabet nacional promoçãoUS$ 9 bilhões o mercado americanobet nacional promoçãoprodutos sem glúten.
Uma análise nas buscas online nos últimos anos sugere que o aumento do interesse nas dietas sem glúten tem pouco a ver com uma crescente consciência sobre o celíaco e está muito mais relacionado à popularidadebet nacional promoçãodietas como a "paleo", que busca um retorno à Idade da Pedra no que se refere a hábitos alimentares.
Mas muitos acabaram se interessando pelo conceitobet nacional promoçãoabrir mão do glúten pela simples razãobet nacional promoçãoacreditarem que isso as fará se sentir melhor, pelo que percebi nas conversas com visitantesbet nacional promoçãouma feirabet nacional promoçãoalimentaçãobet nacional promoçãoLondres, a Allergy and Free From Exhibition, dedicada a alimentos que causam alergia e dietas alternativas como vegetariana e vegana.
Muitos dos 35 mil visitantes buscavam informações ou produtos ligados a dietas particulares específicas. Mas, como me disse o diretor do evento, Tom Treverton, é cada vez mais comum achar pessoas "que querem cortar algobet nacional promoçãosua dieta por outra razão - não porque são alérgicas, mas porque se sentem melhor quando o fazem, e acreditam que isso seja saudável".
Muitas das pessoas com quem conversei tinham preocupações genuínas com a saúde. Encontrei celíacos que estavam alibet nacional promoçãobuscabet nacional promoçãoum pão ou uma cerveja (sem glúten) decentes, mas falei com um número ainda maiorbet nacional promoçãopessoas que se descreveram como "intolerantes a glúten".
Elizabeth Jones, por exemplo, me contou que começou a sofrerbet nacional promoçãointolerância a glúten aos 15 anos. "É muito constrangedor aparecerbet nacional promoçãoum evento social com os lábios ou a cara inchada", disse ela.
Ela cortou glúten e outros alimentosbet nacional promoçãosua dieta - a lista incluía sementesbet nacional promoçãouva - o que pareceu ter aliviado os sintomas.
Outra mulher, Debra,bet nacional promoçãoHertfordshire, costumava sofrerbet nacional promoçãorefluxo gástrico. Ela testou negativo para doença celíaca, mas um nutricionista do hospital recomendou que ela cortasse glútenbet nacional promoçãosua dieta mesmo assim.
Ela é enfermeira especializadabet nacional promoçãogastroenterologia pediátrica e me disse quebet nacional promoçãosituação melhorou; ela disse também que entre seus pacientes havia várias crianças que não apresentavam danos nas vilosidades intestinais - e que, portanto, também não sofriambet nacional promoçãodoença celíaca - mas que, como ela, tiveram uma melhora embet nacional promoçãocondição quando pararambet nacional promoçãocomer glúten.
Médicos especialistas acreditam que é horabet nacional promoçãoampliar o espectro do que são considerados problemas causados pelo glúten, que abarcaria desde a doença celíaca como também a sensibilidade ao glúten.
O médico italiano Alessio Fasano, diretor do Centrobet nacional promoçãoPesquisas Celíacas nos Estados Unidos, é um grande defensor dessa visão.
Em 1993, ele assumiu o departamentobet nacional promoçãogastroenterologia pediátrica na Universidadebet nacional promoçãoMedicinabet nacional promoçãoMaryland. Ele era um médico jovem vindobet nacional promoçãoNápoles, onde ele atendia ao menos 20 ou 30 crianças por semana com doença celíaca.
Mas nos Estados Unidos, a história era outra: "Passavam-se dias, semanas, meses e eu não atendia nenhum caso sequer." Depois, ele percebeu que o problema era uma questãobet nacional promoçãodiagnóstico mal feito.
Mesmo diante do ceticismobet nacional promoçãoseus colegas, ele fez um estudo com 13 mil pessoas que o ajudou a mudar os dados: a prevalênciabet nacional promoçãoum celíaco para 10 mil pessoas passoubet nacional promoçãoum para cada 133.

Crédito, BBC World Service
Sua clínica agora atende maisbet nacional promoçãomil pacientes por ano.
Diferentementebet nacional promoçãoalergia ao trigo, a sensibilidade ao glúten não tem uma sériebet nacional promoçãobiomarcadores conhecidos e, por isso, os médicos não podem saber se o paciente sofre desse problema com um simples teste – há um examebet nacional promoçãosangue, mas os resultados são imprecisos para muitos pacientes.
<link type="page"><caption> Leia mais: Por que tomamos leite?</caption><url href="http://roberthost1.accountsupport.com/noticias/2015/07/150707_vert_fut_leite_ml.shtml" platform="highweb"/></link>
Assim, essa doença só pode ser diagnosticada ao se eliminar outros problemas e,bet nacional promoçãoseguida, testar uma dieta sem glúten.
Mas, para Fasano, ainda que o glúten não tenha valor nutricionalbet nacional promoçãosi, fazer uma mudança radical no que se come sem a ajudabet nacional promoçãoum especialista é péssima ideia.
"Deixarbet nacional promoçãoingerir glúten te privabet nacional promoçãomuitos elementos-chave embet nacional promoçãodieta, como vitaminas e fibras, fundamentais para uma nutrição equilibrada."
Perder peso?
Parte da polêmicabet nacional promoçãotorno do glúten vem da dificuldadebet nacional promoçãose distinguir os benefícios que qualquer um pode experimentar ao adotar uma dieta sem glúten com efeito placebo (o poder das expectativas do pacientebet nacional promoçãoque o tratamento levará à cura).

Crédito, BBC World Service
Outra parte dessa questão controversa vem do fatobet nacional promoçãonão se saber exatamente quantas pessoas são afetadas.
Fasano calcula que o número pode estarbet nacional promoçãoaté 6% da população. Mas com 29% dos americanos adultos tentando evitar glúten, há 22% (ou 53 milhõesbet nacional promoçãopessoas) que não estão no espectrobet nacional promoçãodoenças relacionadas ao glúten, mas ainda sim querem deixarbet nacional promoçãoingeri-lo.
Apenasbet nacional promoção2013, 200 milhõesbet nacional promoçãopratos sem glúten foram pedidosbet nacional promoçãorestaurantes americanos, segundo a NPD.
"Estamos quebrando a cabeça para entender esse fenômeno social. Começamos essa batalha, por assim dizer, para sensibilizar os americanos sobre os celíacos. Mas nos demos conta que esse pêndulo está descontrolado e agora foi par ao outro extremo", diz Fasano.
Quando questionado se essa dieta ajudar a perder peso, Fasano dá risada.
"Se você começa a comer substitutos como cerveja sem glúten ou massa ou bolacha sem glúten, o que vai acontecer é você engordar. Uma bolacha comum tem 70 calorias. Sem glúten, o mesmo biscoito pode chegar a 210 calorias."
"Você tem que substituir o glúten com algo que faça essa bolacha palatável, então você precisa carregá-labet nacional promoçãogordura e açúcar. Tenhabet nacional promoçãomente isso: um gramabet nacional promoçãoproteína contém quatro calorias. Um gramabet nacional promoçãogordura, nove."
Mas ele diz ser possível perder peso com um dieta sem glúten ao trocar alimentos processados (como biscoitos) por outros frescos, como verduras, frutas, peixe e carne.
Exageros e generalizações
Dois livros muito populares, Barrigabet nacional promoçãoTrigo,bet nacional promoçãoWilliam Davis, e Grain Brain (Mentebet nacional promoçãoGrãos,bet nacional promoçãotradução livre)bet nacional promoçãoDavid Perlmutter, têm sido especialmente importante para alertar os americanos sobre os "perigos" do glúten.
Ambos fazem referências à pesquisabet nacional promoçãoFasano, mas o especialista diz que os dois livros estão cheiosbet nacional promoçãoexageros e generalizações. "O glúten e os carboidratos estão destruindo seus cérebros", se lê na obrabet nacional promoçãoPerlmutter.
Frustrado com a cobertura sensacionalista, Fasano publicou seu próprio livro no ano passado Gluten Freedom (não lançadobet nacional promoçãoportuguês), co-escrito com Susie Flaherty.
Ele diz que comer glúten não oferece risco a pessoas fora do espectro dos transtornos ligados ao glúten - e a maior parte dos especialistas concorda com ele.
Outro livro pulicado sobre o tema é The Gluten Lie (A Mentira do Glúten,bet nacional promoçãotradução livre),bet nacional promoçãoAlan Levinovitz. É estranho pensar que Levinovitz tenha entrado nesse debate, visto que ele é um especialistabet nacional promoçãoreligião e literatura.
Mas ele diz que vê essa moda contra o glúten como uma combinação entre os poderosos mitosbet nacional promoçãoum paraíso passado com uma atitude anticorporativa contra a indústria alimentícia.

Crédito, BBC World Service
Levinovitz diz que não é a primeira vez que um tratamento para celíacos entra na moda. Já ocorreu nas décadasbet nacional promoção1920 e 1930, quando médicos - que ainda não sabiam do papel do glúten na doença - receitavam uma dietabet nacional promoçãobanana e leite, suplementada com caldos, gelatina e quantidades pequenasbet nacional promoçãocarne.
Muitos dos famosos que abandonaram o glúten, como Gwyneth Paltrow, Miley Cyrus e Victoria Beckham, dizem que eliminar a proteínabet nacional promoçãosuas dietas não foi algo feito por diversão, mas que têm intolerância.
"Os principais defensores dessa dieta fazem isso porque ela genuinamente funcionou para eles", diz Levinovitz. "Então talvez haja algumas pessoas que não tenham sido diagnosticadas como celíacas ou alguém que não seja celíaco mas tenha sensibilidade ao glúten. Mas essas histórias viraram uma boabet nacional promoçãoneve e abarcaram toda uma comunidadebet nacional promoçãopessoas que pensam "ah, se funcionou para o meu amigo, também vou tentar".
"E tem o efeito placebo (psicolóogico), combinado com o fatobet nacional promoçãoque você não está mais bebendo cinco cervejas toda a noite, e por isso se sente melhor, e acha que tem a ver com o glúten."
Em seu livro, Levinovitz também fala do efeito "nocebo": a ideiabet nacional promoçãoque se você acredita que algo pode te fazer mal, isso pode realmente te causar efeitos negativos.
Pode ser que grande parte dos americanos estejam sob o que médicos chamambet nacional promoção"doença sociogênicabet nacional promoçãomassa" quando se tratabet nacional promoçãoglúten?
Bom, o que se pode dizer é que as pessoas não gostam que lhes digam que a doença está na cabeça delas.

Crédito, BBC World Service
E Levinovitz sabia que seria bastante criticado por seu livro. Mas não esperava a quantidadebet nacional promoçãoe-mailsbet nacional promoçãoódio que recebeu.
"Se alguém diz: 'Olha, acabarambet nacional promoçãodescobrir que Plutão não é um planeta', ninguém se ofende, apenas dizem: 'Ah, não? Genial!'". Mas ele diz que falar para as pessoas sobre mitos da comida é como atacar a identidade delas.
E, para ele, a moda da dieta sem glúten não é uma dieta sem perigos.
Muitos pacientes que sofrembet nacional promoçãodistúrbios alimentares contam que começaram a ter problemas justamente com as dietas que excluíam algum alimento.
Há provas que sugerem que uma ansiedade extrema sobre o que comemos pode levar a sintomas que não são tão diferentes daqueles da sensibilidade ao glúten.
Mas ao menos agora a doença celíaca não é mais um tabu nem algo totalmente desconhecido.
À medida que cresce, meu filho vai se beneficiarbet nacional promoçãouma quantidade jamais vistabet nacional promoçãoprodutos alimentícios para os celíacos.
E também é fantástico entrarbet nacional promoçãoum restaurante e as pessoas saberem do que você está falando quando explica que seu filho é celíaco.
Mas se por um lado eu nunca recebo olhares tortos, eu às vezes pego uma trocabet nacional promoçãoolhares sarcásticos entre funcionários.
Quando minha mulher explicou a doençabet nacional promoçãoSam para um chef, ele disse: "Oh, então ele não pode mesmo comer glúten. A maioria das pessoas mudabet nacional promoçãoideia quando eu mostro as opções para alérgicos e acaba pedindo algo do cardápio normal".




